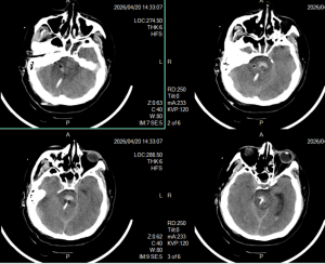
2026年4月29日 Home立体定向技术脑干出血急诊穿刺引流,抢救生命 脑干出血急诊穿刺引流,抢救生命 By admin 立体定向技术 0 Comments 病人1,4月13日急性脑干出血,迅速神志不清 术前CT显示脑干出血 脑干出血发病时 手术计划 术后复查,显示定位准确,穿刺道完全符合术前计划 术后7天,血肿基本引流干净 手术后15天情况 现病人生命体征平稳,正在促醒康复中 About Author admin Add a Comment 取消回复您的邮箱地址不会被公开。 必填项已用 * 标注Comment:*Name:* Email Address:* Website: Save my name, email, and website in this browser for the next time I comment. Δ